
At the office of Briter Dental, prevention is the cornerstone of care. Rather than waiting for problems to appear, our Preventative Program is designed to keep your mouth healthy, comfortable, and resilient so that routine life — eating, speaking, laughing — stays trouble-free. Prevention reduces the likelihood of complex procedures later and supports overall wellness by addressing the early signs of dental disease before they progress.
Good preventive care combines clinical expertise with practical daily habits. Our approach blends evidence-based clinical services, targeted screening, and clear patient education so you leave each visit understanding not just what we did, but why it matters and how to maintain those results at home. The following sections explain what the program includes, who benefits most, and how we work with patients of every age to build lasting oral health.
Oral health is not isolated from the rest of the body. Inflammation, infection, and chronic oral diseases can influence systemic health and create burdens that extend far past the mouth. Regular dental screening helps identify conditions that may affect digestion, breathing, blood sugar regulation, and cardiovascular well-being. By addressing oral problems early, we reduce the risk that a local issue becomes a wider health concern.
Prevention also preserves function. Healthy teeth and supporting tissues allow you to chew well, speak clearly, and maintain facial structure over time. When preventive care is neglected, tooth wear, decay, and gum disease can lead to changes in bite, difficulty eating, and the need for more complex restorative treatments. Keeping your mouth healthy helps protect your quality of life.
Finally, regular preventive visits provide opportunities for ongoing monitoring and individualized adjustments. Each patient’s risk factors are different — genetics, medications, diet, and habits all play a role. Our program is not one-size-fits-all; it responds to those changing factors so that prevention remains effective throughout different life stages.
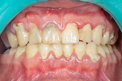
Central to the program are consistent clinical exams and professional cleanings. During an exam we evaluate teeth, gums, bite relationships, and soft tissues, looking for early signs of decay, gum disease, wear, and other conditions. Professional hygiene appointments remove calculus and plaque buildup that brushing and flossing alone can miss, reducing inflammation and lowering the chance of progression to more serious disease.
We also incorporate targeted screenings into routine visits. Oral cancer screening, gum disease assessment, and risk-based evaluations for decay are standard components of each preventive appointment. When appropriate, we use diagnostic tools and visual assessments that help reveal issues in their earliest stages — when treatments are simpler and outcomes are more predictable.
Preventive treatments are tailored to individual needs. For many patients, periodic topical fluoride applications and the placement of dental sealants for molars can substantially reduce the risk of cavities, particularly in teeth with complex grooves. For patients experiencing nighttime grinding or other occlusal concerns, protective appliances and behavioral guidance are recommended to protect enamel and reduce strain on supporting structures.
Education and care planning complete the clinical services. After each appointment, you’ll receive a clear summary of findings, a personalized home-care plan, and practical recommendations for diet and habits that impact oral health. Our goal is to translate clinical observations into actionable steps that make prevention practical and sustainable.

Clinical care is essential, but the day-to-day choices patients make are where prevention truly succeeds or fails. Effective home care begins with consistent brushing and interdental cleaning and is reinforced by the right techniques and tools for each individual. We spend time with patients to demonstrate methods, suggest appropriate products, and troubleshoot obstacles so home routines are both effective and realistic.
Diet and lifestyle also play a major role. Frequent exposure to sugary or acidic foods increases the risk of enamel erosion and decay, while tobacco and certain medications can alter saliva flow, changing the mouth’s natural defenses. We work with patients to identify small, sustainable changes that reduce risk without demanding unrealistic sacrifices.
Behavioral habits like nighttime clenching, chewing on hard objects, or nail-biting can accelerate wear and invite future problems. Where relevant, we teach substitution strategies and provide protective options that reduce damage while addressing the underlying habit. The combination of practical instruction and periodic reinforcement during clinical visits makes meaningful long-term improvement possible.
Establishing preventive habits early sets the stage for lifelong oral health. Pediatric preventive care focuses on building comfort with dental visits, teaching age-appropriate hygiene habits, and protecting vulnerable surfaces as permanent teeth emerge. Regular checkups from the first tooth onward help children avoid decay and learn how daily care contributes to a healthy mouth.
Specific measures for younger patients can include topical fluoride applications and the placement of sealants on molars once they come in. These interventions are quick and effective at protecting chewing surfaces that are prone to cavities. Equally important is the guidance we provide to parents: how to supervise brushing, when to introduce flossing, and strategies for minimizing sugar exposure without creating mealtime stress.
For teens, prevention adapts to new behaviors and risk factors. Orthodontic appliances, sports participation, and changes in diet or sleep can influence oral health. We help adolescents navigate these transitions with tailored recommendations for hygiene, protective gear, and follow‑up care that supports both oral health and the broader goals of growth and development.
Regular recall visits are more than routine appointments; they are checkpoints that allow the care team to monitor trends and intervene when risk increases. A recall schedule is personalized according to each patient’s risk profile — some benefit from biannual visits, while others may need more frequent monitoring. The key is consistency: timely evaluations make early detection routine rather than reactive.
Early detection simplifies care. When decay, gum inflammation, or other concerns are identified at their outset, conservative therapies are often sufficient and outcomes are more predictable. This philosophy reduces the need for invasive procedures later and keeps restorative care as minimally disruptive as possible.
Monitoring also creates opportunities to reassess risk over time. Life changes such as new medications, medical diagnoses, or shifts in diet can change a patient’s oral-health needs. By maintaining regular contact through our Preventative Program, we can adapt recommendations and interventions so that prevention remains responsive and effective throughout each patient’s life.
Our Preventative Program at Briter Dental is designed to be approachable, evidence-based, and aligned with your health priorities. Whether you’re scheduling your first preventive visit in years or bringing a child for their earliest checkups, we focus on practical care that protects function, appearance, and general health.
To learn more about how our Preventative Program can support your long-term oral health, please contact us for additional information.
A preventative dental program is a coordinated plan of regular professional care and at-home maintenance designed to stop dental disease before it starts. It typically combines routine exams, professional cleanings, diagnostic screenings and patient education to preserve healthy teeth and gums. The goal is to catch problems early, reduce the need for more invasive treatment and support long-term oral wellness.
Programs are tailored to each patient’s needs and risk factors and may include additional services such as topical fluoride, sealants or targeted hygiene instruction. Preventative care emphasizes habit formation and ongoing monitoring to keep minor issues from progressing. By focusing on prevention, patients maintain function, comfort and appearance with fewer interruptions for restorative care.
Routine dental exams allow clinicians to evaluate teeth, gums and oral tissues for signs of decay, periodontal disease, abnormal lesions and changes to restorations. These visits provide an opportunity to update X-rays or other diagnostics so problems can be identified while they are still small and easier to treat. Regular exams also enable early detection of oral cancer and other conditions that might otherwise go unnoticed.
During exams dental professionals review risk factors such as diet, tobacco use and medication effects and offer personalized guidance to reduce future problems. Consistent monitoring helps prevent the progression of disease and preserves oral health over time. Exam findings guide the frequency and components of ongoing preventive care.
For many people, twice-yearly visits for an exam and professional cleaning are a reasonable starting point and support routine maintenance. Frequency should be individualized based on risk factors such as existing gum disease, high cavity risk, dry mouth, certain medications or systemic health conditions. Some patients benefit from more frequent cleanings and evaluations while others can safely extend the interval under professional guidance.
Your dental team will assess your oral health and recommend an appropriate schedule based on clinical findings and personal circumstances. Changes in health, medications or lifestyle may require adjustments to that schedule over time. Following a personalized plan helps keep small issues from becoming larger problems.
A typical preventive appointment begins with a thorough oral exam that evaluates teeth, gums, bite and soft tissues, and may include necessary X-rays or digital imaging. A registered dental hygienist or dentist performs a professional cleaning to remove plaque and tartar, followed by polishing and fluoride application when indicated. The visit also includes screening for oral cancer and assessment of periodontal health using measurements and visual inspection.
Patient education is an essential component of the appointment and covers homecare techniques, dietary recommendations and any specific steps to address risk factors. The clinician will review findings, document any concerns and discuss the recommended follow-up or treatment plan if problems are identified. Preventive visits are designed to be efficient, informative and focused on preserving oral health.
Preventive dental care helps control oral bacteria and inflammation, which are factors linked in studies to systemic health conditions such as cardiovascular disease and diabetes. By managing periodontal disease and removing persistent sources of infection, dental prevention reduces chronic inflammation that can contribute to broader health risks. Regular screenings can also reveal signs of conditions that benefit from earlier medical evaluation.
Maintaining good oral health supports nutrition, speech and quality of life, which are important components of overall wellness. Coordinating dental prevention with medical care can improve outcomes for patients with chronic conditions by keeping oral inflammation and infection under control. Clear communication between dental and medical providers helps create a comprehensive plan for patient health.
Preventive services for children focus on establishing healthy habits, protecting vulnerable tooth surfaces and monitoring growth and development. Common interventions include routine exams, professional cleanings, topical fluoride applications and placement of dental sealants on permanent molars to protect against decay. Early visits also allow clinicians to evaluate bite development, airway concerns and behaviors that affect oral health.
Education for parents and caregivers is central to pediatric prevention and covers proper brushing, flossing, diet and avoidance of prolonged bottle or sippy cup use with sugary liquids. The first dental visit is typically recommended by the time the first tooth appears or by the child’s first birthday so potential issues can be identified and addressed early. Establishing a positive dental home fosters lifelong habits that reduce the need for more extensive treatment.
Dental sealants are thin, protective coatings applied to the chewing surfaces of molars to block food and bacteria from settling in grooves and pits where cavities commonly start. Topical fluoride strengthens enamel and promotes remineralization of areas with early decay, making teeth more resistant to acid attack. Both interventions are preventive tools supported by clinical evidence to lower the risk of caries, especially in children and high-risk adults.
Sealant placement is quick and painless and typically requires minimal preparation, while fluoride treatments are applied as a varnish or gel during routine visits. Your dental team can recommend the best combination of sealants and fluoride based on age, cavity risk and oral hygiene. Regular checkups ensure that sealants remain intact and fluoride strategies are adjusted as needed.
Effective daily oral hygiene includes brushing twice a day with a fluoride toothpaste and flossing once a day to remove plaque from between teeth and along the gumline. Using interdental brushes, floss picks or other recommended tools can help reach tight spaces, and an antimicrobial mouth rinse may be advised for specific conditions. Consistent technique and timing are as important as the products used, so follow the guidance provided by your dental team.
Dietary choices also play a key role: limiting frequent snacking on sugary or acidic foods and beverages reduces acid exposure that contributes to decay. Staying hydrated, chewing sugar-free gum after meals when appropriate and avoiding tobacco all support oral health. If you have special needs such as dry mouth or orthodontic appliances, ask your clinician for a tailored homecare plan.
Yes. Patients with chronic conditions such as diabetes, autoimmune disorders, heart disease or those taking certain medications often require a more individualized preventive approach. These conditions can affect saliva flow, gum health and healing, so clinicians may recommend more frequent professional cleanings, targeted antimicrobial therapies or specific homecare products. Coordination with a patient’s medical providers helps ensure dental care is safe and aligned with overall health management.
At Briter Dental we review medical history, medications and recent health changes to tailor prevention strategies and minimize risk. Simple modifications such as saliva substitutes, topical agents, or closer monitoring can make a meaningful difference for patients with complex health needs. Open communication about symptoms, medication changes and lifestyle factors helps the dental team provide the most effective preventive care.
An oral cancer screening is a routine part of a comprehensive dental exam that involves a visual and tactile inspection of the lips, tongue, cheeks, floor of mouth, palate and throat. The clinician looks for unusual sores, discoloration, lumps or asymmetry and may palpate the head and neck to check for enlarged lymph nodes. The screening is quick, painless and performed at regular checkups to establish a baseline and detect changes over time.
If a suspicious area is identified, the dentist will explain findings, document the location and recommend appropriate follow-up, which may include monitoring or referral for further diagnostic testing. Early detection improves the chances of successful treatment, so prompt evaluation of persistent symptoms such as a sore that does not heal, unexplained lumps or persistent oral discomfort is important. Your dental team can also advise on risk-reduction strategies such as tobacco cessation and sun protection for the lips.